Tous nos soins dentaires en images
Qu’est-ce qu’on ne ferait pas pour vous faire sourire !
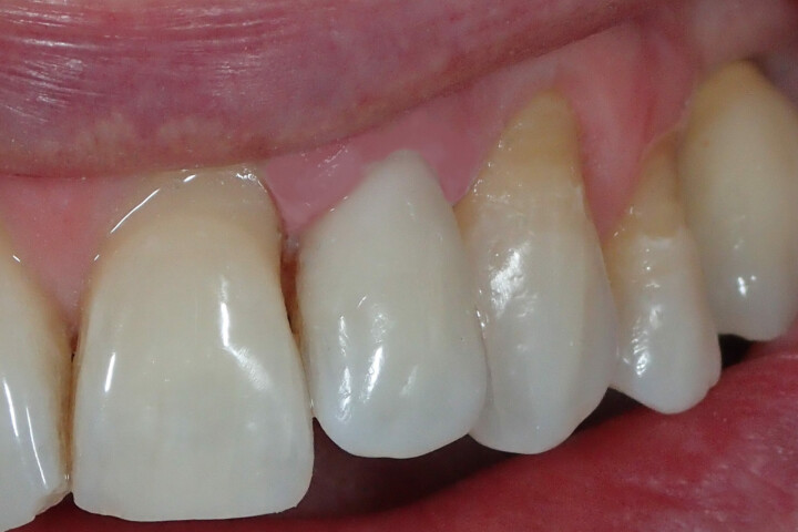
Les soins antérieurs
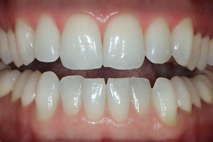
Eclaircissement
Communément appelé blanchiment, c'est la patience qui donnera la réussite du soin.
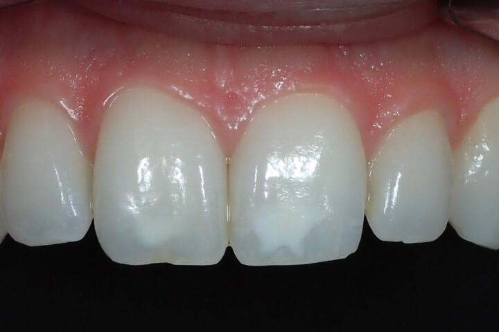
Composite antérieur
Grâce au procédé de stratification anatomique on peut restituer une esthétique quasi parfaite lorsque un morceau cassé ou carié n'est pas trop volumineux (par exemple, une demi-dent c'est trop gros, il faudra faire appel à d'autres techniques).
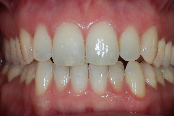
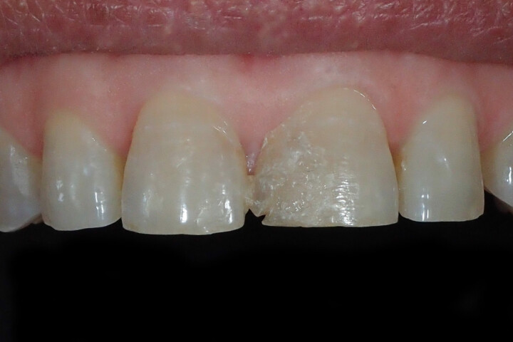
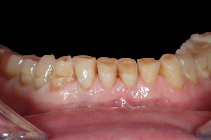
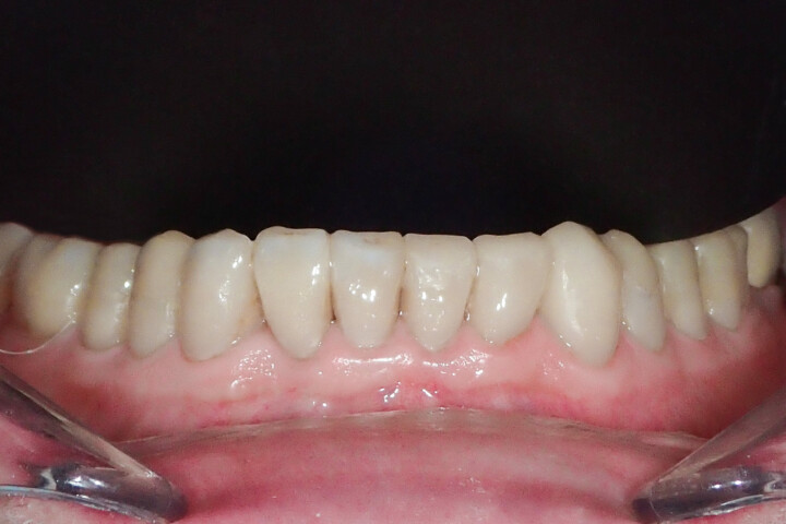
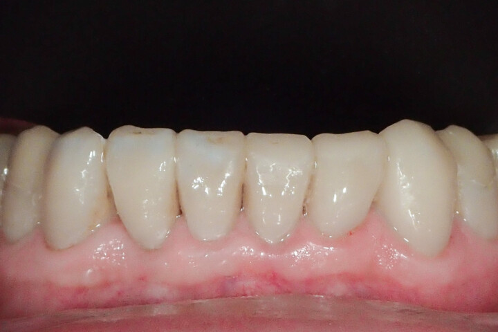
Suppression tache blanche
avec infiltration de résine
C'est une technique récente, indolore minimal-invasive qui permet de retrouver une dent uniformément blanche.
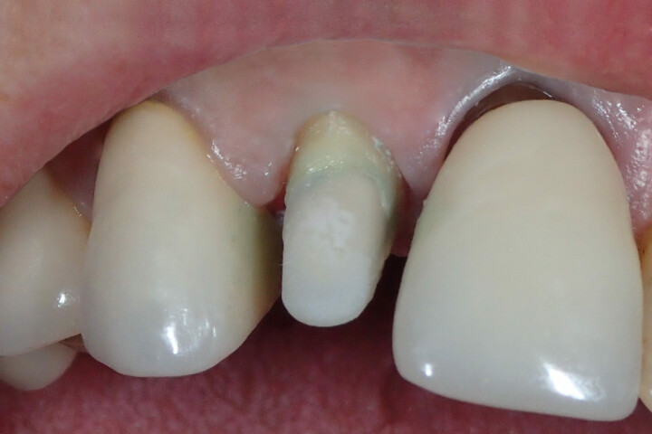
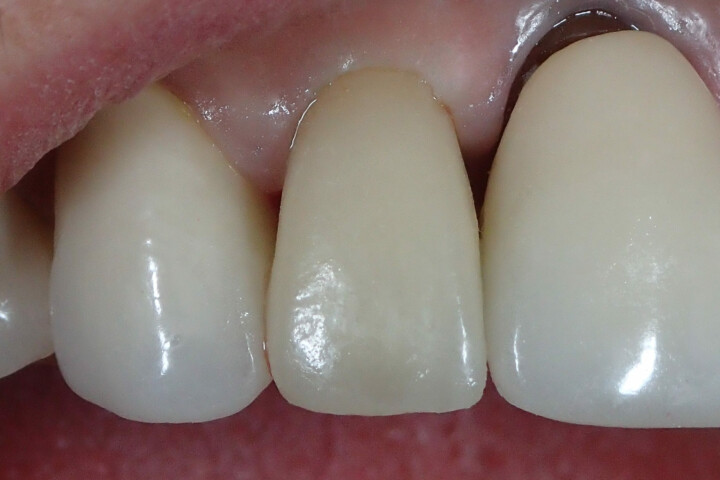
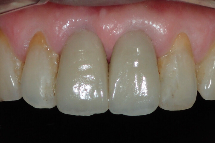
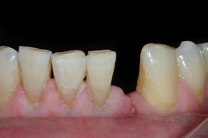
Couronne + inlay core
Couronne céramo céramique
Le gros avantage c'est la suppression du métal, en effet de plus en plus les métaux sont à éliminer, de plus le tout céramique est un ami des gencives.
Bridge papillon
Contrairement au bridge traditionnel on ne « taille » pas les dents de part et d'autre du trou en enlevant tout leur émail, mais grâce aux techniques de collage on peut faire tenir très solidement une dent sans délabrer les autres !
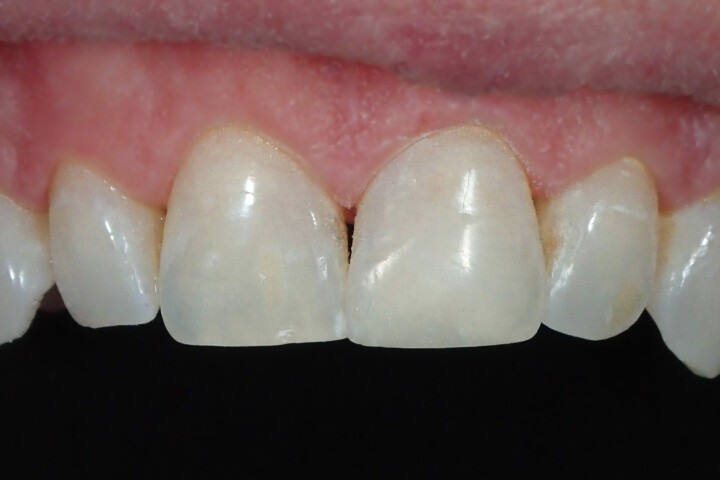
Facettes
C'est la solution esthétique royale pour les dents de devant ; cependant ce n'est pas une solution miracle, dans la plupart des cas il faut faire un blanchiment préalable, de plus les facettes répondent à des critères de faisabilité bien précis.
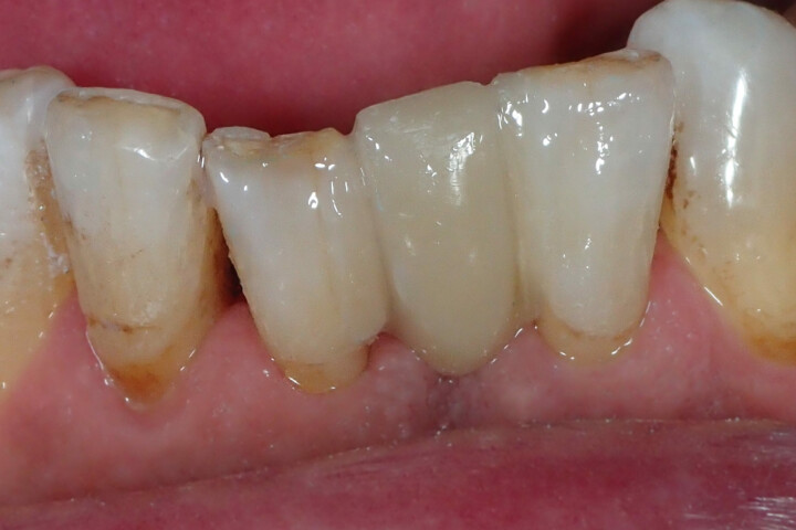
Chip Céramique
(Correction des érosions de collet)
La solution de choix pour les érosions de collet ; une technique de pointe tant esthétique que fonctionnelle qui protège vos dents de l'usure, usure due parfois à un brossage trop énergique !
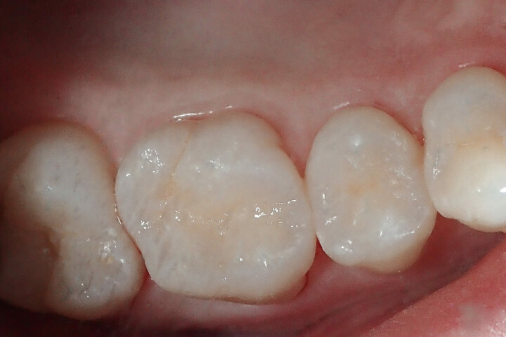
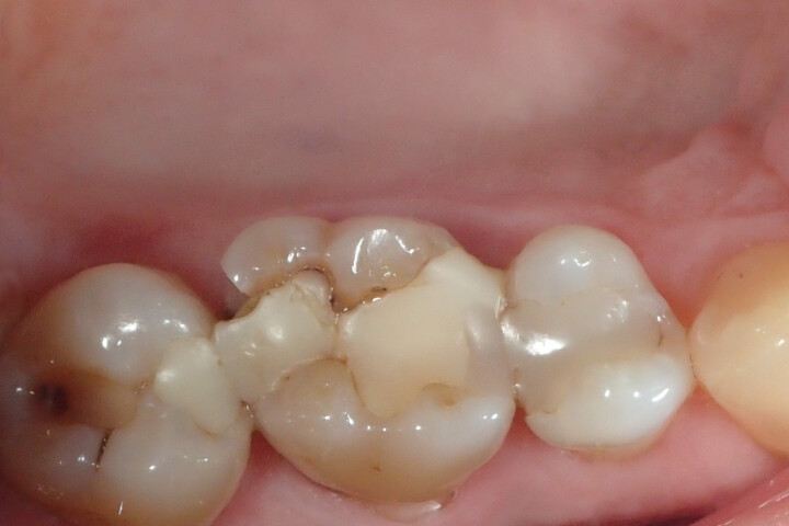
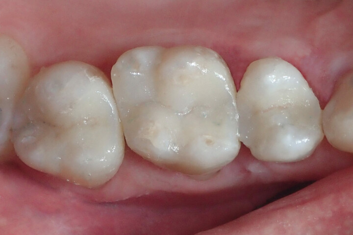
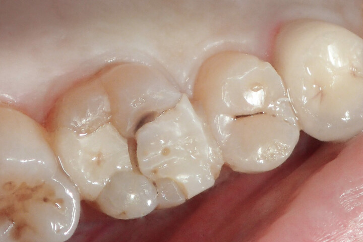
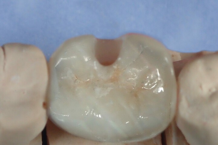
Les soins postérieurs
Les dents du fond supportent des pressions considérables! Sans elles, les dents de devant se casseraient ou se déchausseraient vite !
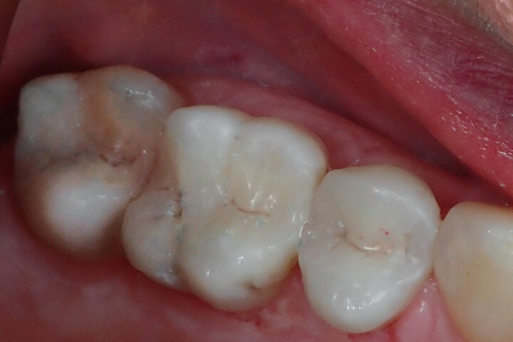
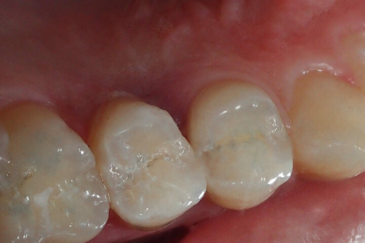
Réémaillage céramique (Inlays)
Lorsque la cavité ou le séquestre est trop grand on a recours à une technique dite indirecte qui nécessite de prendre une empreinte.
Greffe de biocéramique ou biociment
Toute l'explication est fournie dans le chapitre « gardez vos dents vivantes »
Greffe de biocéramique direct
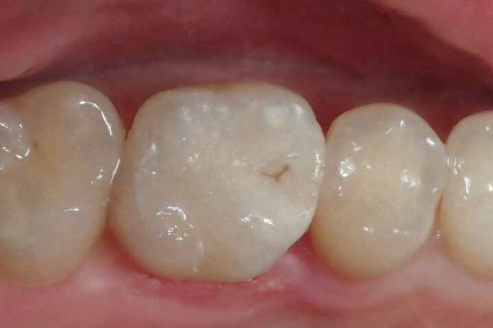
Face triturante complète (Tabletop)
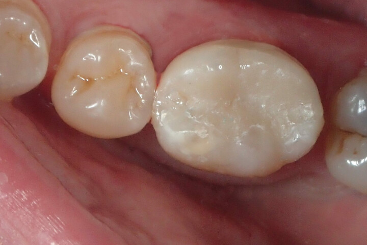
Veneerlay
L'association d'une facette et d'un inlay :la dent est très usée au collet et le bord mastiquant est abimé.
Couronne Zircone Stratifiée
L'évolution de la médecine dentaire tend à proscrire l'usage des métaux en bouche :l'ancienne couronne céramo-métalique est substituée par les couronnes céramo-céramiques ;leur biocompatibilité est incomparable.
Élongation radiculaire
Bridge céramo céramique
Couronne Zircone Stratifiée
Couronne transvissée sur implant
Les soins globaux
























































































